La lingua, per gli stretti rapporti che contrae con le ossa mascellari e con la muscolatura periorale e per le numerose e complesse funzioni in cui è coinvolta, gioca un ruolo importante nell’accrescimento delle basi ossee e nello sviluppo di un corretto rapporto tra le arcate dentali.
La posizione e i movimenti della lingua si modificano nel tempo con il passaggio dall’alimentazione liquida all’alimentazione semiliquida e solida; con l’eruzione degli elementi dentali il bambino acquisisce il meccanismo della masticazione.
Nei primi anni di vita la deglutizione è caratterizzata dalla interposizione della lingua tra le due arcate e dalla contrazione della muscolatura periorale, in particolare del muscolo mentale (deglutizione di tipo infantile).
Verso gli 8-9 anni, per il completamento dell’eruzione dei denti permanenti del settore frontale, per la progressiva diminuzione di volume dei tessuti linfatici della cavità orale (tonsille, adenoidi) e per l’accrescimento della mandibola, la deglutizione si modifica: la punta della lingua viene a contatto con la superficie palatina degli incisivi superiori e il corpo con il palato duro; le labbra sono a contatto in assenza di contrazioni della muscolatura periorale e del muscolo mentale (deglutizione di tipo adulto o somatica).
In circa il 30 % dei soggetti il meccanismo della deglutizione rimane di tipo infantile e questo avviene a causa di numerosi fattori.
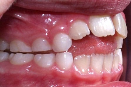
Il persistere della deglutizione di tipo infantile può causare l’instaurarsi di: malocclusioni (come il morso aperto -beanza anteriore), riduzione dei diametri trasversi dell’arcata superiore con conseguente sviluppo di morso incrociato latero-posteriore e laterodeviazione della mandibola.
Numerose sono le terapie proposte per correggere la deglutizione infantile. Secondo alcuni la terapia ottimale è quella miofunzionale, che utilizza esercizi di fisioterapia; altri propongono l’uso di apparecchiature ortodontiche fornite di griglia palatina per riportare forzatamente la lingua in una posizione più arretrata e palatale; altri ancora associano entrambe le tecniche, utilizzando gli esercizi per stabilizzare nel tempo i risultati ottenuti con la terapia ortodontica.
 
					